ブログ
2011年01月21日
空手の国分糸東会と隼人糸東会の合同練習が行われ、その後…鹿児島神宮に参拝しました。
卯年生まれの団員の演舞もありまた。心引き締まる形披露でした。 by C佐
2011年01月18日
インプラントは、一朝一夕では治療は進みません。
最近は、広告宣伝等で、皆様にも知れ渡ってきておりますが、意外と簡単に治療が行われている様に感じる誤解が生じている様な気がします。(これは、歯科医師側の責任もあると思いますが…)
やはり、体の内部に(骨の中に)埋め込まれる訳ですから、細心の注意が必要だと思われます。
私たちの医院では、最初レントゲンで歯周病や噛み合せ、骨の状態等を確認します。また、他のご病気等ないか確認させてもらっています。場合によっては、インプラント治療をお断りする事もあります。
昔は、骨がない時等はインプラント治療が出来ないケースが多々ありました。
最近では、人工骨を使う事によって、骨を増大させインプラントを埋入する事が、出来る様になりました。
例えば…
![]()
向かって右の下顎の骨は、インプラント埋入出来そうですが、骨(下顎骨)の中を神経が通っていて、埋入できない患者様でした。左は、インプラントする前に、人工骨にて骨を増大させた後です。こうすれば、インプラントの埋入も可能となりました。![]()
↑術後です。骨を増やす事でインプラントは埋入でき、そして機能させる事が可能となりました。
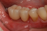
写真で見ると…
術前
![]()
術後![]()
この患者様は、全体の治療が終わるまで2年かかりました。一つの箇所だけで3回の手術(この方は、全体の治療で、9回の手術を行っています。)をされて、これに絶えられた患者様には、頭が下がります。
これを通して、インプラント治療だけではなく全ての歯科治療は、術者だけではなく、患者様の努力によって支えられているのだなあと感じています。
だから、私は日々精進していかないといけないと、常日頃感じております。 by 院長
2011年01月17日
日曜日、神社行きました。
お正月から何日経ったのだろう…
蒲生の神社に初めて行き、“大楠”に感動
2011年も幸せな1年であります様に!!![]()
by H地
2011年01月12日
久々の連休。息子と一緒に木下サーカスを観に行ってきました。
鹿児島に木下サーカスがやってくるのは、45年ぶりだとか…。![]()
連休、冬休み最後という日が相まって、長〜い、行列。大人気です。
超満員の中、サーカスは始まりました。息子は、大喜びでした。
自分は、サーカスのピエロに引き込まれながら、サービスとはどういうものか考えさせられました。
楽しい1日でした by 院長
ピエローー滑稽な格好、行動、言動などをして他人を楽しませる者。涙のマークは、馬鹿にされながら観客を笑わせているがそこには悲しみを持つという意味を表現している
2011年01月11日
5日は成人式でした!
私は、お休みを頂いて参加しました。
朝から準備して、式はあっという間に終わり〜☆
懐かしい人がいっぱい!
みんなとたくさん写真撮りました!
小学校のタイムカプセルには、先生が入れていたお酒とドッジボール、下手な字の習字等懐かしいものばかり!
中学校の同窓会もあり、先生達とお酒飲みながらみんな食べまくりでした。
楽しかったです☆
東歯科のみんなから成人祝い頂きました![]()
ポーチとハンカチ☆
嬉しいー
大事にしようと思います by S橋
2011年01月06日
ある日
お昼休憩中、外に出てみるとぜんざいの匂いが☆
無料で配っているみたいで、みんな分を頂きました!
美味しいー。温まりました。 by S橋
2011年01月05日
今年も、東歯科医院を宜しくお願い致します。
ところで、昨年年末より、鹿児島は南国とはいえない大雪に見舞われました。
私達、南国の人間にとっては、雪を見るのは珍しいもので、雪に慣れていないので交通機関も麻痺。
雪の大変さを身によって、わかりました。
息子は、初めての雪化粧!!楽しく、一緒に遊びました。![]()
![]()
年末、年始は温泉につかり、体を癒すのが日課(まるで、プロ野球選手?)![]()
さあ、皆様、今年も張り切っていきましょう。
今年も宜しくお願い致します by 院長
2010年12月28日
メリークリスマス!!
クリスマスは、ケンタッキー
のつもりがハッピーバレル大人気で注文できませんでした(泣)
その代わりに
チョコレートケーキ
スイートポテト
別に日は、みんなでモスチキンを食べました
美味しかったー! by s橋
2010年12月22日
年末になり、忘年会のシーズンですね!!
東歯科も忘年会をしました
![]()
![]()
お食事会になると、もちろん私達は焼肉
今回も、いっぱいお肉食べられました
サプライズでゲームがあって、とても楽しかったです
私達スタッフの他、多くの業者さんいらして下さって大盛り上がりでした。![]()
↑ゲーム優勝者 感激のメダル授与シーン by山ちゃん
2010年12月21日
12月18、19日と学会及び結婚式に参加してきました。
私は、長崎大学に通っておりました。その後も、長崎の歯科医院に就職しましたので、18歳から31歳までの13年間、長崎に住んでおりました。
まあ、青春時代(いま、こういうのかな?)は、長崎にお世話になりっぱなしです。
学生時代から、すごくお世話になった解剖学の先生のご令嬢の結婚式におよばれされまして、私行っていいものかと思いましたが、お世話になった先生ですし、ご令嬢も私が家庭教師をしておりましたので、やっぱり参加で!という事で、出席させて頂きました。大学離れて11年。僕もメタボ!!お世話になった先生も白髪まじり。歳がすぎるのは、早いものですね。
娘の挨拶にしんみりしてしまいました。
おめでとうございます。
長崎というと、グラバー園、平和公園、福山雅治、さだまさしetc…。
長崎駅
稲佐山(ここの頂上からの展望は最高!!)
僕は、もっとDEEPにいきます。
長崎は九州の西の端(長崎の皆さん、悪口じゃありません。あしからず)。
やはり、長崎駅は終着駅。車輪止めのある駅も珍しいのではないでしょうか?(鉄ちゃんじゃないですが、僕は意外とこの場所は好きです)
長崎名物、チャンポン、皿うどん、佐世保バーガー…。
いやいや、もっとDEEPにいきます。
桃太呂のぶたまんです!!これは、外せません。貧乏時代は、お世話になりっぱなしでした。安い(1個60円ぐらい)、
美味しい、いやあ、うまい!!絶品です。
受験生の夜食はもとより、ちょっとしたおやつ感覚でもどうぞ。がっつり、食べられる方もいいんじゃないでしょうか?
長崎駅の中にもあるので、出張などのお土産にどうぞ!!
毎日、手作りです。
よく鹿児島の山形屋や全国の百貨店の長崎物産展では、常連ですよ。来年は、新しくできる博多駅にも入る予定だとか…。美味しいものは、少しずつ認知されていきますな。
こう見てみると、長崎がやけに懐かしく思い出されて、センチな旅になりました。 by 院長
追伸 長崎にご旅行される方。もし良ければ、DEEPな長崎の旅をご企画いたしましょうか?